March 19, 2026
Are you preparing to take the ARDMS® RDCS Adult Echocardiography Exam? Read this!! Earning the Registered Dia... ...more
Written by: Trisha Reo AAS, RDMS, RVT
February 24, 2026
Ultrasound-guided procedures have become essential skills for clinicians, enabling precision and enhancing pat... ...more
Written by: James Mateer MD, RDMS
January 16, 2026
Point-of-care ultrasound (POCUS) has firmly transitioned from an emerging technology to an expected component ... ...more
December 31, 2025
If you work in sonography, chances are you have felt it at some point. A sore shoulder at the end of the day. ... ...more
February 11, 2026
Gamekeeper’s thumb, AKA Skier’s thumb, an injury to the ulnar collateral ligament of the thumb, is more common... ...more
Written by: Jon Jacobson MD, RMSK
December 23, 2025
Ultrasound-guided nerve blocks have become a staple in regional anesthesia and pain management. When performed... ...more
Written by: Michael D. Herrick MD
December 17, 2025
When it comes to ultrasound-guided procedures, even small adjustments can make a big difference. One area that... ...more
Written by: Paul Lento MD, CAQSM, RMSK
December 10, 2025
The rotator cuff interval is one of those crucial anatomical areas that, when understood, can greatly enhance ... ...more
Written by: Kathleen Quenneville, BS, RDMS, R(R).
December 02, 2025
Today we’re going to be mastering the art of scanning the spleen. Whether you're a seasoned pro or just dippin... ...more
Written by: Brian Schenker MBA, RDMS, RVT
October 08, 2025
Honoring the Sound of Care in Modern Medicine Each October, the Society of Diagnostic Medical Sonography (SDM... ...more
September 10, 2025
Point-of-care ultrasound (POCUS) of the gallbladder is an essential skill for clinicians evaluating patients w... ...more
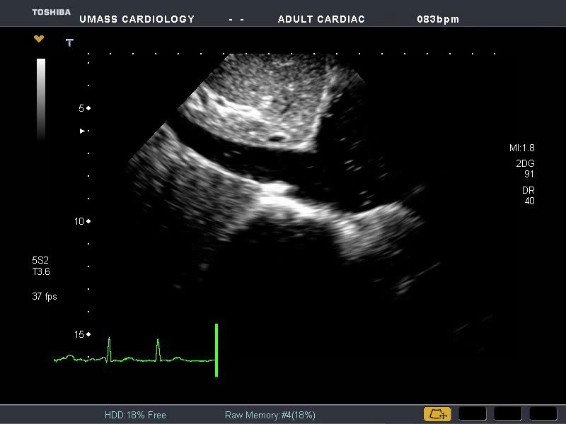
August 27, 2025
When performing echocardiography, evaluating the tricuspid valve for regurgitation and assessing right ventric... ...more
Written by: Steven Walling BS, RCS, ACS, RDCS, FASE
August 13, 2025
Let’s walk through a practical approach to using the subcostal window to help differentiate between normal SVC... ...more
Written by: Richard Palma BS, RDCS, RCS, ACS, FASE, FSDMS
August 07, 2025
When it comes to treating ulnar nerve irritation, I often prefer to focus just distal to the cubital tunnel, r... ...more
Written by: Craig Chappell DO, CAQSM, RMSK, IROM-C
July 30, 2025
July 16, 2025
In today’s fast-paced clinical environments, Point-of-Care Ultrasound (POCUS) has become an invaluable tool fo... ...more
July 10, 2025
In a recent update, the American Registry for Diagnostic Medical Sonography® (ARDMS) announced the suspension ... ...more
June 10, 2025
Ultrasound-guided nerve blocks have become an essential tool in modern pain management, offering precise, effe... ...more
Written by: Allyson Hansen DO
May 14, 2025
Knee injections can present a challenge, particularly when dealing with a dry knee or limited joint space. How... ...more
April 17, 2025
As ultrasound practitioners, our goal is to acquire the most accurate images and data for diagnosing and treat... ...more
Written by: Dennis Atherton RDCS, RCT, RRT, ACS, FASE
March 3, 2025
Navigating the Vascular Landscape with Gulfcoast UltrasoundToday, we’ll embark on a journey to demystify the i... ...more
Written by: Lori Green BA, RDMS, RDCS, RVT
February 18, 2025
When it comes to musculoskeletal ultrasound, identifying the distal biceps tendon can pose a unique challenge,... ...more
February 12, 2025
Ultrasound Guided Nerve BlocksIntroduction / Summary Common discussion throughout the United States healthcar... ...more
February 05, 2025
Decoding Cardiac Secrets: Calculating Aortic Valve Area with the Continuity Equation Unlocking the Power of U... ...more
Written by: Bridget Mazzuco, BBA, RDCS, RVT
January 22, 2025
Whether you’re a seasoned ultrasound technician or a budding sonographer, mastering the intricacies of ultraso... ...more
January 03, 2025
The Intricacies of Ulnar Nerve Dislocation and Snapping through Ultrasound Demonstrations In the intricate wo... ...more
November 05, 2024
Unlocking the Potential of Bladder Volume MeasurementLet’s discuss the realm of ultrasound imaging—specificall... ...more
October 31, 2024
Echocardiography Evaluation of Takotsubo CardiomyopathyEchocardiography has been widely utilized to evaluate a... ...more
October 15, 2024
The use of Point-of-Care Ultrasound (POCUS) can be a useful tool for differentiating between abscesses and cel... ...more
September 5, 2024
The field of ultrasound is always evolving, lately at a rapid pace. It is imperative to keep your skills up to... ...more
September 05, 2024
POCUS (Point-of-Care Ultrasound) for Cruise Ship Health CarePlanning a cruise ship vacation allows one to expe... ...more
September 03, 2024
Continuous wave (CW) Doppler is an essential tool for evaluating peripheral vascular conditions, particularly ... ...more
Written by: Rob Daigle BA, RVT, FSVU, FSDMS
August 22, 2024
Carotid imaging is a critical skill in the arsenal of any ultrasound technician, particularly when it comes to... ...more
August 13, 2024
The use of point-of-care ultrasound (POCUS) for the evaluation of patients with acute scrotal pain is a valuab... ...more
Written by: Mark Swanson RDMS, RVT
July 26, 2024
Dr. James Mateer, a pioneer in ultrasound-guided procedures, unveils the intricate art of utilizing Power Colo... ...more
July 10, 2024
According to a recent article published in the Osteopathic Physical Therapy journal, Musculoskeletal Ultrasoun... ...more
July 9, 2024
Musculoskeletal ultrasound is a great tool in the dynamic evaluation of tendons and ligaments. But the learnin... ...more
June 10, 2024
Point-of-Care Ultrasound (POCUS) continues to expand quickly, having a positive impact on patient care and out... ...more
May 9, 2024
It isn’t a big secret that online learning is a popular option for many professionals seeking to expand their ... ...more
April 22, 2024
Ultrasonography is an excellent cost-effective modality in imaging of peripheral nerves. High-frequency transd... ...more
April 8, 2024
Echocardiography is a valuable tool to provide rapid assessment of cardiac tamponade at the bedside.Pericardia... ...more
March 17, 2024
The utilization of Point-of-Care Ultrasound (POCUS) is rapidly expanding due to technological advancements and... ...more
February 19, 2024
Recently, drugs designed to treat diabetes, such as semaglutide (Ozempic and Wegovy), and tirzepatide (Mounjar... ...more
January 03, 2024
Preparing for the ScanBefore initiating the eye ultrasound, it's crucial to exercise caution to avoid prolonge... ...more
Written by: Casey Green
Ultrasound Evaluation of Gamekeeper's Thumb or Skier's ThumbGamekeeper's thumb, also known as skier's thumb, i... ...more
November 09, 2023
The Wiggers diagram represents simultaneous events of the cardiac cycle, with stacked graphs showing left atri... ...more
October 24, 2023
(Image: Echocardiography of Ascending Aortic Dissection)Echocardiography has been widely utilized to evaluate ... ...more
October 18, 2023
POC biliary ultrasound performed by emergency physicians provides timely access to diagnostic information. Pos... ...more
October 17, 2023
The utilization of ultrasound for musculoskeletal applications has been steadily increasing among many special... ...more
August 22, 2023
Point of Care Ultrasound (POCUS) has seen increasing utilization, providing bedside confirmation of various co... ...more
August 15, 2023
Point-of-care ultrasound (POCUS) is a valuable tool that can be integrated into family medicine practice to en... ...more
August 10, 2023
Family Medicine Primary Care and Primary Care Physicians have much to gain from integrating point-of-care ultr... ...more
August 07, 2023
In comparing ultrasound to magnetic resonance imaging (MRI), ultrasound, when performed by an experienced prof... ...more
July 31, 2023
We see it listed all over billboards, talked about in the news, discussed on podcasts and social media, but as... ...more
July 12, 2023
Chronic musculoskeletal injuries involving tendon, muscle, ligament, and bone have long eluded standardized th... ...more
July 08, 2023
The use of ultrasound has significantly increased over recent years as technology has improved and systems hav... ...more
June 27, 2023
Of all the challenges a physician faces with operating a private practice, profitability ranks among the most ... ...more
June 12, 2023
In this episode of The Sonography Lounge, hosts Lori Green and Trisha Reo sit down with the remarkable Dr. Cha... ...more
June 05, 2023
Transcranial Doppler is a non-invasive technique for evaluating blood flow information from the intracranial a... ...more
May 31, 2023
A venous duplex ultrasound exam combines a traditional ultrasound, which uses sound waves that bounce off bloo... ...more
May 24, 2023
Family Medicine Physicians have much to gain from integrating point-of-care ultrasound (POCUS) into their clin... ...more
May 16, 2023
Integrating Point-of-Care Ultrasound (POCUS) is a proven diagnostic tool that provides precise, cost-effective... ...more
May 11, 2023
Gulfcoast Ultrasound Institute (GCUS), the leading provider of continuing medical education for the diagnostic... ...more
May 08, 2023
Point of Care Ultrasound (POCUS) refers to the use of portable ultrasound equipment at the patient's bedside t... ...more
May 04, 2023
Prehospital ultrasound is an exciting field with many diagnostic applications that can aid in early diagnosis ... ...more
May 01, 2023
Practice is key to performance. We all know this. You wouldn’t run a marathon without training for it. Why wou... ...more
April 20, 2023
Peripheral nerves are affected by a multitude of disease processes including trauma, infection, inflammation, ... ...more
April 19, 2023
The use of ultrasound has significantly increased over recent years, especially in msk ultrasound, as technolo... ...more
April 18, 2023
Proper transducer manipulation and system optimization is the key when performing ultrasound guidance for vasc... ...more
April 06, 2023
Echocardiography has proven to play a critical role in the diagnosis and clinical management of a wide variety... ...more
March 30, 2023
The most common complaint I hear from sonographers who are preparing for an ultrasound registry exam is how ov... ...more
March 29, 2023
Ultrasound guidance allows real-time visualization of nerves, surrounding vascular structures, and continual v... ...more
October 12, 2022
Case: 29-year-old female presents with two days of worsening abdominal pain described as “bloated”, “tight... ...more
Written by: Allyson Hansen, Charlotte Derr, Caitlyn Johnson
October 07, 2022
Anyone working in an Emergency Department (ED) understands that minute’s matter. Multiple cases presented in t... ...more
August 16, 2022
Are you a physician practicing musculoskeletal ultrasound? Have you considered taking your clinical practice t... ...more
Written by: Trisha Reo, RDMS, RVT
June 21, 2022
There is increasing evidence that the utilization of ultrasound guidance is beneficial for all types of vascul... ...more
June 07, 2022
April 28, 2022
April 21, 2022
March 10, 2022
February 26, 2022
February 21, 2022
Real-time Ultrasound Guidance increases the first pass and overall success rates and reduces the risk of compl... ...more
February 09, 2022
Chronic venous insufficiency occurs when your legs do not allow a steady flow of blood back to your heart. Ven... ...more
February 02, 2022
February 01, 2022
January 27, 2022
December 29, 2021
The use of ultrasound has significantly increased over recent years as technology has improved and systems ha... ...more
August 16, 2021
New Episode on Sonography Lounge Now Streaming! Sonography Lounge Hosts, Lori Green, BA, RDMS, RDCS RVT and Tr... ...more
August 04, 2021
The Registered Musculoskeletal (RMSK) Registry Review for Physicians - Gold Package & Registered Musculoskelet... ...more
August 02, 2021
The Sonography Lounge hosts Melissa Osbourne, RDMS, RVT, RDCS in our Career Spotlight Series. In this podcast ... ...more
June 30, 2021
New to Ultrasound? Are you interested in getting into the field of diagnostic ultrasound but don’t know wh... ...more
June 28, 2021
In 1985, Gulfcoast Ultrasound Institute (GCUS Inc.) was established with the mission to provide an ultrasound ... ...more
April 28, 2021
Point-of-care ultrasound (POCUS) has arguably revolutionized the healthcare industry, and many believe its imp... ...more
Written by: POCUS Certification Academy
April 27, 2021
Patient care is at the heart of the medical community’s mission. As healthcare professionals, from the day we ... ...more
April 13, 2021
Click image to view video. Peripheral nerves are affect... ...more
April 06, 2021
Echocardiography is an ultrasound application that uses sound waves to produce live images of the heart and is... ...more
March 25, 2021
Pain, in its many forms, is one of the primary reasons patients seek emergency care. As emergency providers, w... ...more
Written by: Michael Prats MD
March 17, 2021
Proper transducer manipulation and system optimization is the key when performing ultrasound guided vascular a... ...more
March 15, 2021
Dr. Charlotte Derr, MD, RDMS, FACEP, demonstrates how to perform an ultrasound-guided Transversus Abdominis Pl... ...more
Written by: Charlotte Derr MD, RDMS, FACEP, FPD-AEMUS
March 10, 2021
Aortic Aneurysm and Dissection are potentially life-threatening conditions that can be rapidly evaluated using... ...more
February 16, 2021
Despite the advancements in technology and medicine, cardiac arrest continues to be one of the leading causes ... ...more
January 26, 2021
December 10, 2020
November 04, 2020
The ongoing COVID-19 crisis has created wide spread healthcare related issues. One vastly overlooked impact ha... ...more
October 14, 2020
The Remote Coach™ Virtual Skills Trainer is a revolutionary new system that is designed to offer a live Hands-... ...more
Written by: Kelsey Green-Lingle
September 28, 2020
Ultrasound Registry Exam preparation has certainly seen some new challenges this year. It is incredibly diffic... ...more
August 24, 2020
“Medical education does not exist to provide students with a way to make a living, but to ensure the health of... ...more
August 18, 2020
A. Central vein obstruction B. Clotted dialysis access C. Basilic vein thrombus D. Prior thrombophlebitis ... ...more
August 06, 2020
The use of ultrasound to evaluate a variety of medical conditions ranging from relatively minor to critically ... ...more
August 04, 2020
For the healthcare provider, education doesn’t end at the degree. Instead, it’s just the beginning. Medical pr... ...more
July 17, 2020
The RUSH exam provides a framework for a rapid and systematic evaluation of the non-traumatic patient in the e... ...more
June 17, 2020
Imaging modalities and their applications have gone where they’ve never been before. Healthcare providers now ... ...more
June 02, 2020
COVID-19 has wreaked havoc on every aspect of our lives. We have all been affected in one way or another, or i... ...more
April 25, 2020
Ultrasound is considered one of the most important, non-invasive diagnostic tools for the assessment of the de... ...more
April 20, 2020
If you are anything like me, you like to keep yourself busy! With all that is going on in the world right now,... ...more
April 14, 2020
Venous thrombosis is a major cause of morbidity and mortality in the United States. Patients presenting to the... ...more
April 10, 2020
The current COVID-19 pandemic has put a spotlight on the benefit of Point-of-Care Ultrasound,commonly referred... ...more
March 30, 2020
Bedside lung ultrasound is being recommended for all patients who present to the ED with flu-like symptoms for... ...more
March 26, 2020
Best Ultrasound Training for the Clinician Treating the Patient with Undifferentiated Hypotension Providing... ...more
March 25, 2020
COVID -19 is a virus that affects the upper respiratory system and may involve associated cardiovascular compl... ...more
March 06, 2020
Primary Care and Family Medicine Physicians have much to gain from integrating point-of-care ultrasound (POCUS... ...more
February 24, 2020
Ultrasound-Guided Regional Anesthesia is an extremely useful technique to utilize for surgical and pain manage... ...more
February 17, 2020
Ultrasound-guided nerve blocks performed in the emergency department is an extremely useful technique to addre... ...more
February 11, 2020
February 03, 2020
Gulfcoast Ultrasound Institute (GCUS) is the most comprehensive, accredited resource for live and online diagn... ...more
January 09, 2020
Appendicitis is a surgical emergency and is commonly encountered in the emergency department. In a patient wit... ...more
January 06, 2020
The Registered Physician in Vascular Interpretation (RPVI) certification was developed in response to numerous... ...more
December 23, 2019
Point-of-care ultrasonography (POCUS) is a rapidly evolving diagnostic modality that is now utilized by health... ...more
December 19, 2019
Musculoskeletal ultrasound is a non-invasive, accurate imaging modality that can be used to diagnose a variety... ...more
December 18, 2019
December 09, 2019
The Regenerative Medicine Musculoskeletal Ultrasound Live Training Course at Gulfcoast Ultrasound Institute in... ...more
November 04, 2019
Echocardiography is widely recognized as an integral component to diagnose, treat, and manage patients with a ... ...more
October 21, 2019
You are looking for Online Sonography Courses to learn more about a specialty within ultrasound right? If no... ...more
October 17, 2019
If you are looking for the most comprehensive hands on ultrasound courses, then Gulfcoast Ultrasound Institute... ...more
October 11, 2019
When sonographers, physicians, physician assistants, nurse midwives, or nurse practitioners perform ultrasound... ...more
August 15, 2019
The Adult Echocardiography Ultrasound Registry Review Course at Gulfcoast Ultrasound Institute provides a very... ...more
July 30, 2019
July 22, 2019
July 15, 2019
If you are looking for the best critical care ultrasound training course, your search is over. The Introductio... ...more
July 09, 2019
Musculoskeletal Ultrasound Training Courses at Gulfcoast Ultrasound Institute are taught by the nation's lead... ...more
July 08, 2019
Ultrasound guidance increases the success rate and decreases the complications associated with vascular access... ...more
July 05, 2019
Gulfcoast Instructor Shane Shapiro, MD, RMSK, demonstrates how to recognize the suprapatellar pouch if there i... ...more
July 03, 2019
The Ultrasound Guided Vascular Access Training Course is available as a live course or interactive live webina... ...more
Gulfcoast Ultrasound Institute instructor Dennis Atherton, RDCS, RCS, RRT, FASE, demonstrates how to transitio... ...more
Gulfcoast Ultrasound POCUS Instructor Bret Nelson, MD, RDMS, FACEP, demonstrates how to find a peripheral vein... ...more
June 28, 2019
The Registered in Musculoskeletal (RMSK) sonography certification has raised the standard of musculoskeletal u... ...more
June 27, 2019
What is the best hands on echocardiography course? Sonographer Ron Fox, RT, RVS, RVT shares his experience... ...more
June 26, 2019
CME Credits from the World WIde Leader in Ultrasound Training & CME. Gulfcoast Ultrasound Institute (GCUS)... ...more
June 25, 2019
Soft-Tissue and MSK Sonography in the Pediatric Patient Training Video is designed to present ultrasound appli... ...more
June 24, 2019
Gulfcoast Ultrasound Institute is most famous for our industry leading 3:1 faculty to participant hands-on sca... ...more
June 21, 2019
Introduction and Advanced Emergency Medicine & Critical Care Ultrasound Live Training Courses at Gulfcoast Ult... ...more
June 20, 2019
In the 3rd Issue of the 2019 Gulfcoast Ultrasound Sound Insight E-Newsletter you find a quick link to the 2019... ...more
Gulfcoast Ultrasound Institute is always looking for Ultrasound Models. Ultrasound Scan Model job opportun... ...more
June 19, 2019
Kristie Franklin, RN discusses her experience attending the Intro to Echocardiography Hands-On Course at Gulf... ...more
Overview Introduction to Adult Echocardiography Live Training & CME Course is a five (5) day echocardiography... ...more
June 18, 2019
Gulfcoast Ultrasound Courses cover a variety of topics and applications invaluable to individuals involved in ... ...more
June 14, 2019
June 13, 2019
Summer at Gulfcoast Ultrasound Institute is one of the best times to come to a course. Airfare, hotels, and re... ...more
Pediatric Ultrasound Registry Review Online Course is designed to provide a comprehensive review of the info... ...more
June 10, 2019
Recently Gulfcoast Ultrasound Course participant Angelica Varon, RDMS, RVT, discusses her experience when atte... ...more
June 7, 2019
An Introduction to Adult Echocardiography Live Training & CME Courses are five (5) day echocardiography course... ...more
June 4, 2019
Gulfcoast Ultrasound Program Director, Lori Green, BA, RT, RDMS, RDCS, RVT with a Hot Tip on how to recognize ... ...more
Serving the Medical Community
Participants Trained
CME Credits Awarded
Courses Offered
(727) 353-8222 - Google Ads