Echocardiography Evaluation of Takotsubo Cardiomyopathy
Echocardiography has been widely utilized to evaluate a variety of cardiac conditions including cardiomyopathies, ventricular function, valvular heart disease, pericardial disease, and more.
Comprehensive echocardiography or a focused cardiac ultrasound exam can be performed to augment the physical exam and other diagnostic testing to ensure accurate diagnosis and appropriate patient management.
Cardiomyopathies are diseases of the myocardium that are associated with cardiac dysfunction. In 1995 the World Health Organization/International Society and Federation of Cardiology Task Force suggested that the dominant physiologic cause or factor should dictate the classifications of cardiomyopathies.
Classification of Cardiomyopathies
- Hypertrophic cardiomyopathy (HCM)
- Dilated cardiomyopathy (DCM)
- Infiltrative / Restrictive cardiomyopathy
- Arrhythmogenic right ventricular cardiomyopathy (ARVD)
- Unclassified – Takotsubo and Left Ventricular Non – Compaction
The purpose of this article is to provide a brief description and overview of the echocardiography findings associated with Takotsubo cardiomyopathy.
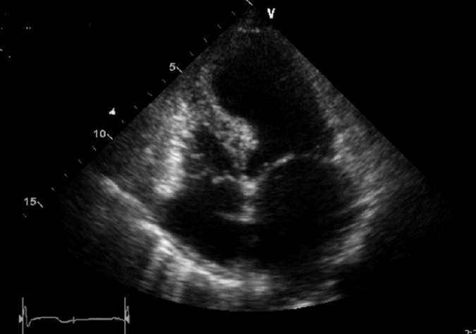
Takotsubo Cardiomyopathy is also known as broken heart syndrome and presents as acute heart failure due to sudden, intense emotional or physical stress. Signs and symptoms for this cardiomyopathy may include: chest pain, ST segment elevation or T wave inversion, and elevated cardiac enzyme levels. Typically, normal coronary anatomy will be demonstrated on coronary angiogram.
Echocardiography findings Associated with Takotsubo Cardiomyopathy include:
- Reduced EF %
- Apical wall motion abnormality (apical ballooning)
- Possible apical thrombus.

Apical ballooning in patient with Takotsubo Cardiomyopathy
Ready to learn more?
Come train with the best at our upcoming Introduction to Adult Echocardiography course December 9-13, 2024. This course provides participants a comprehensive introduction to Adult echocardiography including Cardiac anatomy/physiology, 2D views, scan protocols, evaluation of valvular heart disease, left ventricular function, cardiomyopathies, coronary artery disease, pericardial effusion, interactive cases, and much more.
Taught by leading echocardiography experts, the program offers extensive hands-on scanning with the industry leading 3:1 participant to instructor ratio working with standardized patient models. The program also offers 40.0 AMA PRA Category 1 Credits™ to meet your credentialling needs.
So why put off until tomorrow what you can do today? Call us or visit www.gcus.com to register for the next Adult Echocardiography course so you can begin integrating these skills into clinical practice!